تخطى الى المحتوى
أرسل لنا رسالة

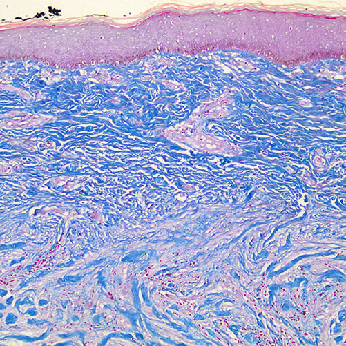
الكولاجين وإدارة الندبة

21 Jul 2018 0 تعليق
Collagen and Scar Management

الندبة التي تتشكل أثناء عملية الشفاء هي نسيج ضام يحل محل الأنسجة التالفة بسبب إصابة أو مرض. تعد عملية التندب جزءًا من عملية التئام الجروح العادية التي يتم خلالها استبدال الجلد التالف بنسيج جديد جيد الأوعية الدموية ، محبب (ينمو) مع العديد من ألياف الكولاجين التي تتشابك وتشكل محاذاة في اتجاه واحد ، في معارضة الاصطفاف العشوائي للألياف في الجلد الطبيعي. تتشكل الندبات في منطقة الجرح أو الآفة ، واعتمادًا على عدد من العوامل ، يمكن تمييز أنواع قليلة من الندبات ، والشفاء هو عملية استعادة الأنسجة بعد الإصابة.

هدفه هو إعادة بناء استمرارية الجلد وتكون الندبة واسعة النطاق إلى حد ما نتيجة لهذه العملية.

إزالة الندبات

هناك طرق عديدة لإزالة الندبات. يعتمد تأثير العلاج على العديد من العوامل مثل نوع الجرح وحجمه وعمقه وجزء الجسم الذي يقع عليه والفترة بين تكون الندبة وبداية العلاج. تنضج الندبة لمدة عام واحد ويمكننا محاولة التأثير على مظهرها المستقبلي خلال هذه الفترة. تساهم الخلايا الليفية ، وهي الخلايا التي تنتج الكولاجين في الجلد ، في انتظام كبير في ألياف الكولاجين عندما يتم تحفيزها بواسطة الكولاجين الإضافي المطبق على الجلد. بفضل هذا تصبح الندبة أكثر نعومة. أيضا ، يتم استخدام بعض التقنيات الجراحية.

عادة ما تتكون الجراحة التجميلية من إزالة الندبة والخياطة في ترقيع الجلد من أجل الحصول على ندبة ناعمة وحتى ندبة أفضل بكثير من سابقتها من حيث الجوانب البصرية. تتضمن الطريقة الحديثة لعلاج الندبات استخدام موسعات ، تسمى نقالات الأنسجة ، والتي قد تتسبب في نمو الجسم لبشرة إضافية وصحية يمكن زرعها في منطقة الندبة. من الشائع أيضًا استخدام ضمادات هلام السيليكون. إلى جانب العلاج قد يشمل التدليك والضغط بإصبع على الندبة عدة مرات في الأسبوع.

علامات التمدد هي ندوب تظهر عندما تتمدد ألياف الكولاجين والإيلاستين في الجلد مسببة تمزقات صغيرة في الأدمة. الزيادة السريعة في الوزن أثناء الحمل هي السبب الرئيسي ، ولكن التغيرات الهرمونية واتباع نظام غذائي اليويو والسمنة والإفراط في تدريب الوزن يمكن أن تلعب دورًا أيضًا.

الكولاجين النشط والندوب

أظهرت نتائج الاختبار أن الكولاجين الطبيعي النشط مفيد للغاية لأولئك الذين يريدون التخلص من الندبات وعلامات التمدد.

عادة ما يتم إنتاج الكولاجين المتحلل بالماء المستخدم في مستحضرات التجميل والمكملات من النسيج الضام البقري أو غضروف وقشور الأسماك. لتحويله إلى شكل يمكن استخدامه في منتجات العناية بالبشرة والمكملات ، يتطلب معالجة كيميائية أو أنزيمية عدوانية تسمى التحلل المائي. المنتج النهائي يسمى الكولاجين المتحلل بالماء. إنه يشبه الكولاجين في تركيبته من الأحماض الأمينية ، ولكن ليس في بنيته.

الكولاجين الطبيعي النشط مختلف تمامًا. يتم استخراجه على شكل جزيئات الحلزون الثلاثية (الحلزونية) التي هي سلائف لألياف الكولاجين. لذلك ، كان من الممكن أن يصبح ألياف كولاجين ولكن تم التقاطه واستخراجه في مراحل مبكرة من التطور وحفظه (لم تتم معالجته!) على شكل هيدرات.

يعد الكولاجين الطبيعي النشط أحد أكثر المنتجات فعالية في السوق. نحن نعلم تمامًا أن بشرتنا تتكون من ألياف الكولاجين. هذا هو السبب في أن الكولاجين يحفز تكوين الجلد الطبيعي ويجعل الندبات تدريجيًا أكثر نعومة وتملقًا وأخف لونًا. لا ينبغي لأحد أن ينسى أيضًا أن جسمنا يتمتع بقدرات شفاء لا تصدق. إذا استخدمنا خلال عملية التندب الأولية منتجات إضافية تحفز تجديد الجلد ، فقد تتجاوز التأثيرات توقعاتنا.

اختيارات المحرر

انضم إلى مجتمع Mediluxe

أوصي بمنتجاتنا واكسب مكافآت لك!
Mediluxe Medical Supplies | Online
قريب
تسجيل الدخول
قريب
تحرير الخيار
قريب
أشعرني، أعلمني، بلغني
يضاف إلى عربة التسوق الخاصة بك.
قريب
قارن
منتج SKU وصف مجموعة التوفر نوع المنتج تفاصيل أخرى
قريب
قريب
عربة التسوق الخاصة بي (0) قريب
Mediluxe Medical Supplies | Online

قبل أن تغادر...

احصل على خصم 10% على طلبك الأول

خصم 10

أدخل الرمز أدناه عند الدفع للحصول على خصم 10% على طلبك الأول

SAVE10

مواصلة التسوق
مُستَحسَن 4